Search Close Search
Search Close Search
Page Menu

News

Getting Results…
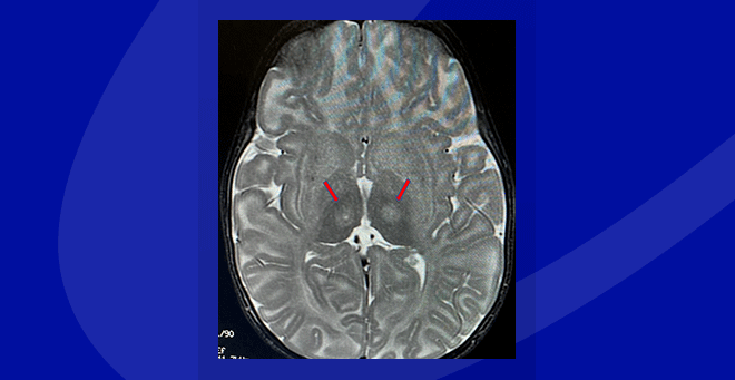
  • Phase I/II clinical study of gene therapy for GM2 gangliosidosis, including Tay-Sachs and Sandhoff diseases, shows encouraging results

    Phase I/II clinical study of gene therapy for GM2 gangliosidosis, including Tay-Sachs and Sandhoff diseases, shows encouraging results

    Clinical study of gene therapy for GM2 gangliosidosis, including Tay-Sachs disease, shows encouraging results

    Read more
  • Listen now: Rare Diseases, Real Stories podcast series

    Listen now: Rare Diseases, Real Stories podcast series

    UMass Chan Medical School has launched Rare Diseases, Real Stories, a six-episode podcast series. It is available on all major streaming platforms.  

    Read more
  • Family with child affected by SPG4 visits UMass Chan researchers developing gene therapy

    Family with child affected by SPG4 visits UMass Chan researchers developing gene therapy

    A family whose child has a rare neurological disease, SPG4, visited UMass Chan Medical School’s scientists to learn about development of a gene therapy for the disease. The family is raising funds to support the research in the Translational Institute for Molecular Therapeutics. 

    Read more
  • UMass Chan receives $2.2 million to fund gene therapy for Cockayne syndrome

    UMass Chan receives $2.2 million to fund gene therapy for Cockayne syndrome

    UMass Chan Medical School has received $2.2 million from a nonprofit patient-advocacy organization to contract with Andelyn Biosciences to manufacture clinical grade AAV9-CSA vector to treat Cockayne syndrome.  

    Read more
  • Ana Rita Batista, PhD, (left) instructor in neurology, pictured with Miguel Sena-Esteves, PhD, associate professor of neurology and director of the Translational Institute for Molecular Therapeutics..

    UMass Chan researchers achieve gene therapy milestone for potential Cockayne syndrome treatment

    Researchers working with UMass Chan Medical School’s Translational Institute for Molecular Therapeutics announced progress in developing a vector to deliver gene replacement therapy in mice models with Cockayne syndrome, a rare and fatal neurodegenerative disease that largely affects children and young adults.

    Read more
  • Top story: UMass Chan launches Translational Institute for Molecular Therapeutics

    Top Story: UMass Chan launches Translational Institute for Molecular Therapeutics

    Top story: The Translational Institute for Molecular Therapeutics leverages UMass Chan Medical School’s extensive experience in researching and developing gene therapies for early-stage clinical trials. Miguel Sena-Esteves, PhD, is director of the new institute.

    Read more
  • First gene therapy for Tay-Sachs disease successfully given to two children

    First gene therapy for Tay-Sachs disease successfully given to two children

    In a piece written for The Conversation, Miguel Sena-Esteves, PhD, talks about research leading to the first ever gene therapy for Tay-Sachs disease and the launch of the Translational Institute for Molecular Therapeutics at UMass Chan.

    Read more
  • Raiden Science Foundation makes gift to UMass Chan for UBA5 gene therapy research

    Raiden Science Foundation makes gift to UMass Chan for UBA5 gene therapy research

    An Oregon couple whose baby was diagnosed with an ultra-rare genetic disorder has launched a foundation to raise money to accelerate development of therapies for the condition and recently signed a gift agreement with UMass Chan Medical School to jump start the research.

    Read more
  • UMass Chan launches Translational Institute for Molecular Therapeutics

    UMass Chan launches Translational Institute for Molecular Therapeutics

    The Translational Institute for Molecular Therapeutics leverages UMass Chan Medical School’s extensive experience in researching and developing gene therapies for early-stage clinical trials. Miguel Sena-Esteves, PhD, is director of the new institute.

    Read more
  • Sio Gene Therapies reports positive interim data for gene therapy trial

    Sio Gene Therapies reports positive interim data for gene therapy trial

    Sio Gene Therapies, a clinical-stage company focused on developing gene therapies for neurodegenerative diseases, presented positive interim data from its Phase I/II study of AXO-AAV-GM1, an adeno-associated viral vector-based gene therapy candidate for GM1 gangliosidosis that was licensed from UMass Chan.

    Read more
  • Riaan Research Initiative funds Cockayne syndrome gene replacement therapy research at UMass Chan Medical School

    Riaan Research Initiative funds Cockayne syndrome gene replacement therapy research at UMass Chan Medical School

    Riaan Research Initiative, a non-profit organization, and UMass Chan Medical School are entering into an agreement to fund, research and develop a gene replacement therapy to combat Cockayne syndrome, a fatal autosomal recessive disorder.

    Read more
  • USA Today reports on first baby in gene therapy clinical trial for Sandhoff, Tay-Sachs diseases

    USA Today reports on first baby in gene therapy clinical trial for Sandhoff, Tay-Sachs diseases

    Thomas Feldborg and Daria Rokina, of Denmark, chose to enroll their baby daughter, Alissa, in an investigational gene therapy for the treatment of GM2 gangliosidosis, which causes Tay-Sachs and Sandhoff diseases, to “let hope conquer the fears,” according to a report in USA Today chronicling their journey.

    Read more
  • Innovative neurosurgical technique used in Tay-Sachs gene therapy clinical trial

    Innovative neurosurgical technique used in Tay-Sachs gene therapy clinical trial

    Oguz Cataltepe, MD, describes the innovative neurosurgical procedure used to treat patients in the new clinical trial for a gene therapy targeting infantile Tay-Sachs and Sandhoff diseases.

    Read more
  • First patient dosed in clinical trial of gene therapy for Tay-Sachs and Sandhoff diseases

    First patient dosed in clinical trial of gene therapy for Tay-Sachs and Sandhoff diseases

    Sio Gene Therapies announced that the first patient with infantile Tay-Sachs disease has been dosed in a Phase I/II trial evaluating AXO-AAV-GM2, an investigational gene therapy for the treatment of GM2 gangliosidosis, which causes Tay-Sachs and Sandhoff diseases. Miguel Sena-Esteves, PhD, is a principal scientist of the research program at UMMS.

    Read more
  • FDA clears IND application for Tay-Sachs gene therapy

    FDA clears IND application for Tay-Sachs gene therapy

    Axovant Gene Therapies, a clinical-stage company developing innovative gene therapies based on UMass Medical School research discoveries, has announced that the FDA has lifted its clinical hold and cleared Axovant’s Investigational New Drug application to initiate a registrational study of gene therapy to treat patients with Tay-Sachs disease and Sandhoff disease.

    Read more