Junior Faculty Development Graduates
Four radiology faculty members were part of a group of twenty-eight UMass Chan Medical School faculty who graduated from the Junior Faculty Development Program in a ceremony in May.
The 12-month program comprises a comprehensive curriculum on research, education and career development; and an individual project completed under the guidance of a senior faculty member.
Isha Gujrathi, MD
“Beyond the Flames: Unveiling the Spectrum of Screening Thoracic CT Findings in Firefighters,” analyzes the spectrum and significance of thoracic findings in over 750 firefighters. Through a Massachusetts state-funded screening initiative, the study reveals a striking prevalence of thoracic CT abnormalities in this group, with 90% showing at least one finding and a majority receiving no follow-up care within six months. It underscores a significant gap in current lung cancer screening guidelines, which fail to address occupational risks, and makes a compelling case for evidence-based, tailored screening strategies for these first responders.
Ashwini Kulkarni, MD, DNB
Incorporation Of Recommended Practice Of Screening Breast MRI In High-risk Women. The project aims were to evaluate the effect of TC score risk assessment on the screening breast MRI volumes and to improve compliance for supplemental screening with breast MRI in women with elevated TC score.

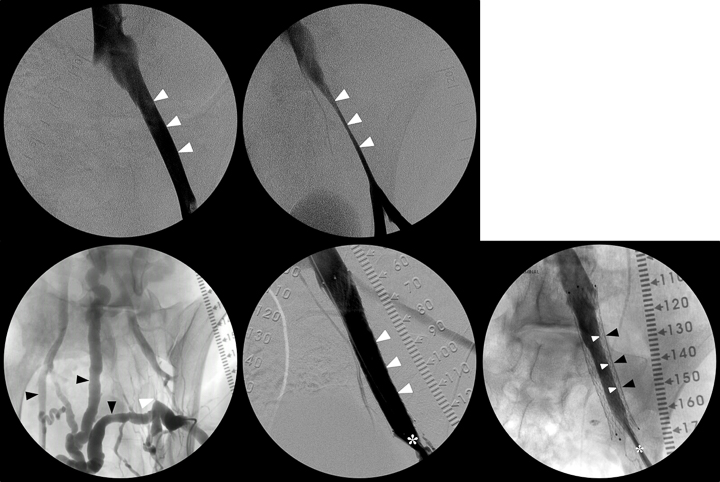
Ningcheng (Peter) Li, MD
My Junior Faculty Develpment Program (JFDP) project is a translational research effort aiming to address critical gaps in venous thromboembolism (VTE) by analyzing subacute/chronic venous clots and optimizing existing animal models to better replicate human disease.
Brian Smiley, MD – Automated Pattern Analysis in the Diagnosis of Combined Pulmonary Fibrosis and Emphysema (CPFE). The goal of this project is to ascertain if artificial intelligence can assist in quantifying emphysema and fibrosis in the setting of CPFE. Coreline was initially brought to UMass for lung nodule detection for the lung screening program. Their aview: Lung Texture analysis will be used to attempt to quantify lung disease and distinguish between many particularly difficult findings, such as honeycombing, traction bronchiolectasis, and mosaic attenuation.

Congratulations Junior Faculty Graduates!
